Édition 2023
Télécharger le Programme Se connecter
Applications

Card image cap Essayer
Détection de feu de forêts
Sidi Mahmoudi

Modèle Deep Learning pour la classification d'images forestières : feu, départ de feu, normal

Card image cap Essayer
Classification Obj. perso
Sidi Mahmoudi

Modèle Deep Learning pour la classification d'objets personnels : smartphone, clé, trousseau de clés, etc.

Card image cap Essayer
Classification Obj. suspects
Sidi Mahmoudi

Modèle Deep Learning pour la classification d'objets suspects : armes, bâtons, couteaux, etc.

Card image cap Essayer
Localisation d'objets suspects
Sidi Mahmoudi

Description

Card image cap Essayer
Localisation d'objets personnels
Sidi Mahmoudi

Description

Card image cap Essayer
Localisation de feu de forêts
Sidi Mahmoudi

Coming Soon ...

Card image cap Essayer
Détection de Covid-19
Aziz Amezian, Charly Delfosse

Modèle Deep Learning pour détecter la présence de maladies de Covid-19 ou pneumonie à partir d'images de radiographie.

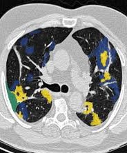
Card image cap Essayer
Segmentation d'images Covid-19
Sidi Mahmoudi

Coming Soon ...

Card image cap Essayer
Aide au diagnostic de l'ostéoporose
Sidi Mahmoudi

Coming Soon ...